前言:
AI阅片是利用AI进行医疗影像诊断,疫情的爆发,让医疗系统看到了AI技术的优势。
疫情让AI阅片备受重用
新冠肺炎疫情前期,在核酸检测方面,由于医护人员试剂盒使用经验有限,很难采集到上呼吸道附近的唾液样本,造成患者假阴,导致核酸的检测在一定程度上受限。
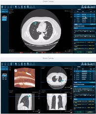
随着临床诊断数据的积累,新冠肺炎的影像学大数据特征逐渐清晰,CT影像诊断被列入《卫健委新冠肺炎诊疗指南(第五版)》中,相比核酸检测,CT影像图像清晰度高,能够诊断早期轻微病变,因此CT影像也成为新型肺炎检测的方式之一。
火神山医院、雷神山医院、武汉同济、协和、中南医院等一线战场已部署并投入使用,随着临床数据的积累,AI+云也将在新冠肺炎诊断中发挥更大的价值。
近两年来,AI在医疗健康行业的应用中表现越来越突出,包括医疗机器人、智能药物研发、智能诊疗、智能影像识别、智能健康管理等方向,这些应用在这次疫情防控和诊治中发挥了重要作用。

未经允许不得转载:泰泽科创站 » AI阅片将改变AI落地医疗领域的速度
