数字化X线摄影技术发展已历经二十余年,由于其快速、高效与低剂量等特性,极大的提升了X线检查的效率与便捷性。近年来,DR技术的发展不断跃迁,越来越多功能性和结构紧凑型的数字化X射线设备不断加强市场渗透。此外,随着动态DR摄影技术的广泛发展,动态DR摄影技术已成为行业主流的发展技术,国内各大厂商相继进入动态DR的研发,动态DR行业保持高速增长,年复合增长率从2017年的15%增长到2019年的30%。动态DR有效填补常规静态X线片的不足,减少了漏诊误诊,提高诊断准确率。

图1 2017~2019年动态DR行业增长率(%)
目前,DR设备正朝着更加精准化、轻便化、智能化和多维化方向发展,出现了多功能动态DR、超便携移动DR、三维化DR产品等等。根据益普索咨询数据显示,2020年动态多功能胃肠机销量排名前三名分别是:安健科技、岛津医疗、西门子医疗。其中,作为国内动态DR创新技术的领先公司,位于深圳的安健科技在2020年动态多功能胃肠DR的市场占有率超60%。
作为一家专注于数字化X线设备技术创新的公司,安健科技从推出中国第一台动态数字化探测器、第一台动态DR整机到引领整个DR行业的动态化趋势。“腾灵”系列多功能诊断专用动态DR,作为安健科技的第四代床式动态多功能平板DR产品,凭借着对临床的深入洞察、功能创新和图像效果,近年来一直位居动态多功能胃肠DR市场第一。那么腾灵背后到底隐藏了哪些优秀的设计呢?
贴合临床极致创新
在医疗设备领域,一款优秀的医疗设备往往需要大量对临床的深入洞察,在技术创新突破之外,基于临床的设计创新往往更能满足临床的应用需求。而临床的需求往往是多种复杂场景下的综合,腾灵在贴合临床的基础之上不断进行产品设计,可实现全科室应用包括常规的X线拍片、消化道检查、骨科检查、妇科、儿科检查等等。在影像质控标准建设上,腾灵支持SID大范围可调节,满足不同部位的影像质控摄片要求。为了满足临床多角度摄片要求,腾灵的球管运动设计支持角度可调节。考虑到患者的上下床便利性与安全性问题,腾灵在床体设计上不断进行突破,目前在床体高度上已经做到业内最佳。在摆位摄片的效率性上,腾灵设计电动360°可旋转脚踏板,满足在立位状态下的正侧位高效率摄片。而在安全性的设计上,腾灵设计了首个床式可移除式滤线栅,能够有效满足儿科等特定场景的低剂量摄影要求。而包括可升降操控台设计,支持医生床旁操作等,一系列贴合临床的功能设计,让腾灵在临床多场景应用中应对自如。


图2 一机多能,全能发展
优质影像链技术控制能力
得益于安健科技多年来持续专注于数字化X线影像的技术突破与创新,安健科技目前已经掌握包括探测器、球管、高压发生器、精密机械制造与图像后处理技术在内的DR全部核心技术。腾灵在产品表现上得益于优质的影像链控制,搭载的高性能的非晶硅动态17*17英寸平板探测器,采集矩阵达3072*3072,高空间分辨率与高动态灰阶范围,为成像提供超大视野的同时保证优质成像质量。为了保证更好的图像处理效果,安健科技新一代IEAE高效率自动增强系统,包括智能感兴趣自动识别技术、金属识别技术、影像自动增强对比技术、影像伪影智能识别祛除技术以及动态滤波补偿技术等多项技术的加持,保证图像处理效果具备良好的一致性、对比度、层次感。


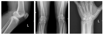
图3 腾灵临床图像采集
十年一剑
在床式动态多功能DR领域,安健科技已经持续十年耕耘,每两年推出一款新品,在床式多功能动态DR产品领域培育了一批行业内最优秀的研发团队与工业设计团队。腾灵无论从功能还是从设计角度而言,都不断的致力于实现“以人为中心,为人而设计”的理念。为了实现腾灵的智能与便利,设计与研发团队在岛屿式床体结构设计中,不断压缩高度,以最大程度减少操作技师的工作强度,提高工作效率,同时让患者在受检查时更安全和便利。以智能束光器设计为例,腾灵为了减少操作技师的工作流,支持束光器可以智能调节,根据不同部位自动设置照射野,根据不同SID自动匹配探测器幅面,由此既能够简化医生的操作,又可以控制对病人的辐射量。正是这样全方位地为医生和患者考虑,腾灵才能成为一款受市场认可和欢迎的产品。
得益于中国医疗巨大的市场和高速的发展,近十年数字化X线摄影在中国每年保持20%左右的快速增长,数字化X线机快速普及到中国各个层级的医疗机构,国产品牌市场占有率稳步提升,以安健科技、联影医疗、迈瑞医疗为主的国产厂商不断致力于产品与技术创新,以“临床为中心,以技术为驱动”做更贴合中国医院使用习惯和功能的产品。
未经允许不得转载:泰泽科创站 » 2020年动态多功能胃肠DR销量排行:安健科技腾灵稳居行业第一
