X线摄影技术作为目前全球最为广泛应用的医疗影像检查手段,覆盖了数十亿人口的健康与疾病筛查。自德国人伦琴发现X线以来,X线作为一种技术手段就广泛应用于医疗健康领域。从早期的模拟成像技术到间接数字化X线成像技术、直接数字化X线成像技术与动态多功能成像技术。数字化X线摄影朝着精准化诊疗方向快速发展。2020年,三维化数字化X线摄影技术迎来快速发展,西门子医疗、安健科技各自推出三维数字化X线创新设备。
长期以来,数字化X线摄影凭借着辐射小、时间短及操作方便等优点得以快速普及,但由于数字化X线摄影受限于二维解剖成像限制,对于较隐匿部位或有重叠影的位置容易出现漏诊、误诊的情况。因此也导致了数字化X线摄影的应用场景逐步被CT断层摄影检查压缩。随着三维化技术的开启,通过多角度扫描与影像重建,能直观、全方位、精准显示的被拍摄部位的三维影像信息,使医务人员可以获得从传统二维平面中无法捕捉到的信息数据,弥补了由CT、MRI设备形态和结构的限制所形成的缺陷,为医务人员临床诊断提供了更丰富、准确的影像资料,大幅度降低了对病灶的漏诊,提高了诊断精准性。
据了解,目前可支持负重位下的3D数字化X线摄影设备全球仅有西门子医疗与安健科技两家,在实现三维化的具体技术路径上两家各自成蹊。西门子医疗Multitom Rax 3D悬吊设备是通过双悬吊的高精度机械运动实现人在站立位下的3D数字化扫描,并完成3D影像重建,满足临床精准诊断。而安健科技则是通过研制独立的航舱式扫描装置,外形更类似于一个宇航舱的结构,支持360°度自由旋转,实现多角度三维扫描,并完成影像重建,实现精准诊断。

(西门子Multitom Rax 3D悬吊设备)

(安健科技WR-3D技术)
具体来说,西门子医疗Multitom Rax 3D悬吊设备在功能方面支持站立位、坐位和平躺位的3D检查,可获取平躺状态下无法获取的影像信息,且支持2D+3D一站式检查,降低CT工作负荷,提高诊疗效率。此外,Multitom Rax 3D经过传统2D平面扫描后,可以直接进行站立位3D扫描,提供更多的平片或MR可能无法获得的治疗信息。以及可支持同时扫描双足,通过比较两侧脚踝,可发现差异。不仅如此,它还能输出MPR/MIP/VRT专业重建图像,真实细腻,并支持各种测量。

(西门子Multitom Rax 3D悬吊设备)

在性能方面,它可以冠、失、轴位方向图像重建,甚至是斜冠、斜失、斜轴、曲面等方式输出断层图像,从而获取大量的患者组织信息。同时,它还具备AEC剂量控制,保障了以最佳剂量输出最佳图像。以及搭载高清晰度的像素点尺寸动态平板和强稳定性Multitom Rax的机器人控制技术,所有关节的运动角度、时间点精准无误,运动过程无异于滑环结构,而运动的方式则大大优于滑环结构。

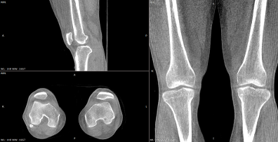
(西门子三维扫描重建影像)
国内数字化X线头部厂商安健科技则在数字化三维化技术上创新路径,推出WR-3D多角度扫描与重建技术。在功能方面WR-3D不仅支持站立位的3D检查,可获取平躺状态下无法获取的影像信息。WR-3D装机后无需进行几何校正,降低用户的学习和使用成本。支持2D+3D一站式检查,降低CT工作负荷,提高诊疗效率。通过传统2D平面扫描后,可以直接进行站立位3D扫描,提供更多的平片或MR可能无法获得的治疗信息。WR-3D从动态DR切换到3D功能,只需要推动移动站台到指定位置即可。扫描完后,将移动站台移开即可。移动站台采用简约紧凑设计(一般家用立式空调内机大小),不占用空间。除此之外,WR-3D支持同时扫描双足,通过比较两侧脚踝,从而发现差异。还可以轻松扫描双膝关节,双髋关节。以及它能输出MPR/MIP/VRT专业重建图像,真实细腻,并支持各种测量。支持多种断层厚度、断层间隔、FOV重建,设置方式简单快捷,和传统螺旋CT设置方式类似,直接降低用户学习成本。

(安健科技WR-3D技术)
在性能方面,WR-3D融合安健科技成熟的低剂量动态成像技术,每秒以12-15帧的曝光速度,大约0.8s曝光一次,从扫描开始到出图,快速完成。此外,安健科技自主开发的GPU加速技术,一次获取断层图/MPR/VR图像,简单快捷。不同于西门子的等中心扫描,WR-3D采用非等中心扫描方式,病人靠近平板探测器一侧,最大支持35cm的扫描视野(FOV),一次扫描轻松容纳病人双侧髋关节。同时支持针对不同体型和部位设计不同的曝光参数,用户在界面上只需要简单选择即可,就像拍平片一样简单。可以说,WR-3D搭载的自主研发动态平板,不仅可以定位下肢术前规划和术后评估随访,利用负重位下的形态学差异,更好地指导手术。

(安健科技WR-3D扫描与重建影像)
西门子医疗与安健科技在三维数字化X线成像上的临床价值可以看到,他们虽在不同路径下实现在负重位下的三维影像信息,但都同时解决了CT、核磁等无法解决的站立位下的三维影像信息缺失,对于临床骨科的诊断,都具有极高的临床应用价值。
综上所述可以看到,数字化X线摄影检查伴随着数字化、动态化、三维化的发展,通过数字化X线摄影检查和三维成像技术进一步深入结合,从根本上改变以往普放检查漏诊率高的弊端,实现真正意义上的精准诊断。
未经允许不得转载:泰泽科创站 » DR迎来三维化全面浪潮 安健科技与西门子已先行
